Hemophagocytic lymphohistiocytosis (HLH)

Hemophagocytic Lymphohistiocytosis (HLH): Advanced Diagnosis and Treatment at The Cell

Hemophagocytic Lymphohistiocytosis (HLH) is a rare but life-threatening condition caused by a severe overactivation of the immune system. In HLH, the body’s immune cells, including T-cells and macrophages, fail to regulate properly, leading to excessive inflammation and damage to vital organs such as the liver, spleen, and bone marrow, explain the best haematologists in Surat. This hyperinflammatory response can quickly escalate, making early diagnosis and treatment critical. At The Cell, our team of experts specializes in identifying and managing HLH, providing patients with advanced therapies and compassionate care to improve outcomes and quality of life.

 

What is HLH?

HLH is a syndrome, not a single disease, that can occur in two forms:

  1. Primary HLH (Familial HLH):
    • An inherited condition caused by genetic mutations that affect immune system regulation.
    • Typically presents in infancy or early childhood.
  2. Secondary HLH:
    • Triggered by external factors, such as infections (e.g., Epstein-Barr virus), autoimmune diseases, cancers, or other underlying medical conditions.
    • Can occur at any age.

Both forms of HLH involve a dysfunctional immune system response, leading to uncontrolled activation of immune cells and excessive cytokine production, known as a “cytokine storm.”

 

Symptoms of HLH

HLH symptoms can mimic other conditions, making it challenging to diagnose. Common signs include:

  • Persistent fever that doesn’t respond to standard treatment.
  • Enlarged spleen (splenomegaly) or liver (hepatomegaly).
  • Low blood cell counts (anaemia, thrombocytopenia, or neutropenia).
  • Persistent fatigue or weakness.
  • Elevated liver enzymes or jaundice.
  • Rash or skin abnormalities.
  • Neurological symptoms, such as irritability, seizures, or confusion, due to inflammation in the brain.

Without prompt treatment, HLH can lead to multi-organ failure and other life-threatening complications, warn the best haematologists in Surat.

 

Diagnosis of HLH

At The Cell, we use advanced diagnostic tools to identify HLH quickly and accurately, making us one of the best haematology hospitals in Surat. Diagnosis typically involves a combination of clinical evaluation, laboratory tests, and imaging studies. Key diagnostic criteria include:

  1. Blood Tests:
    • Elevated levels of ferritin, a marker of inflammation.
    • Low levels of blood cells (cytopenias).
    • Abnormal liver function tests.
    • High levels of soluble IL-2 receptor (sCD25), a marker of immune activation.
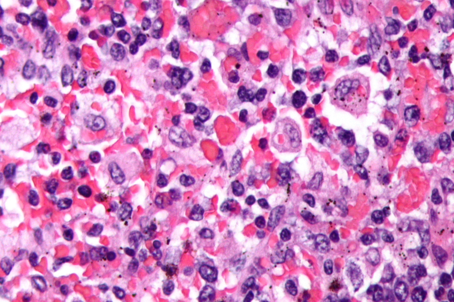
  2. Bone Marrow Biopsy:
    • Identifies hemophagocytosis, where macrophages consume blood cells.
  3. Genetic Testing:
    • Identifies mutations in genes associated with familial HLH.
  4. Imaging Studies:
    • CT or MRI scans to assess organ enlargement or inflammation.

 

How The Cell Can Help

At The Cell, we provide comprehensive care for HLH, combining advanced medical expertise with personalized treatment strategies to address the unique needs of each patient.

  1. Emergency Treatment:
    • Rapid treatment is critical for controlling the hyperinflammatory response. We use corticosteroids, immunosuppressants, or chemotherapy-based protocols to quickly reduce inflammation.
  2. Targeted Therapies:
    • Biologic Agents: Medications such as etoposide or emapalumab are used to target specific pathways involved in the hyperinflammatory response.
    • Anti-Cytokine Therapy: Reduces the production of inflammatory cytokines to control the immune system’s overreaction.
  3. Supportive Care:
    • Managing complications such as organ dysfunction, infections, and anemia through blood transfusions, antibiotics, and intensive care support.
  4. Stem Cell Transplantation:
    • For familial HLH or refractory cases, hematopoietic stem cell transplantation (HSCT) offers the potential for a cure by replacing defective immune cells with healthy ones.
  5. Ongoing Monitoring:
    • Regular follow-ups to assess treatment progress, monitor for relapse, and adjust therapy as needed.

 

Why Choose The Cell for HLH Care?

We are one of the best haematology hospitals in Surat. We understand the urgency and complexity of HLH. Our multidisciplinary team works together to provide comprehensive, compassionate care that prioritizes your health and well-being. Here’s what sets us apart:

  • Expert Diagnosis: Advanced diagnostic tools and expertise to identify HLH quickly.
  • Personalized Treatments: Tailored care plans based on your specific type and stage of HLH.
  • Access to Clinical Trials: Innovative therapies and emerging treatments to improve outcomes.
  • Holistic Care: Support for both physical and emotional challenges, with a focus on long-term health.

 

Take the First Step Toward Expert HLH Care

Hemophagocytic Lymphohistiocytosis is a complex condition, but with prompt diagnosis and expert treatment from the best haematology hospitals in Surat, patients can achieve better outcomes and improved quality of life. At The Cell, we are here to guide you every step of the way with advanced treatments and compassionate care.



WE CARE, WE CAN





WE CARE, WE CAN



© 2025 The Cell. All Rights Reserved.